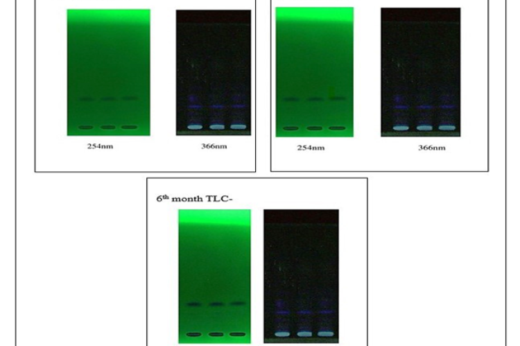
ArticlesAbstractPharmacognosy Research,2026,18,1,1-5.DOI:10.5530/pres.20260045Published:November 2025Type:Original ArticleAuthors:Rajashekhar Sanapeti V, Pradeep L Grampurohit, and Dalal Dimple D Author(s) affiliations:Rajashekhar Sanapeti V*, Pradeep L Grampurohit, Dalal Dimple D Department of Panchakarma, KLE SHRI B.M.K Ayurveda Mahavidyalaya, Belagavi, Karnataka, INDIA. Abstract:Background: Gokshuradi Kashaya is a classical formulation mentioned in Sahasrayoga, which is widely used for its therapeutic benefits. Traditionally, the saviryata avadhi of Kashaya is considered to be less i.e. 3 hr, but modern pharmaceutical practices makes it necessary for a scientific evaluation of its stability. Objectives: To identify the stability of Gokshuradi kashaya by using accelerated stability study method. Materials and Methods: Gokshuradi Kashaya was prepared as per the standard classical procedure. Samples were stored under accelerated conditions (40±2ºC and 75±5% RH) for 6 months as per ICH Q1A (R2) guidelines. Stability study had 3 timepoints for assessments i.e. 0th month, 3rd month and 6 months. Parameters like organoleptic characters and microbial load and TLC profile was been assessed. Results: There was no significant changes observed in organoleptic characters. Slight reductions in pH and minor variations in total solids and viscosity were present but within acceptable limits. Microbial load showed reduced bacterial load and no fungal contamination during 6 months. There was no change observed in TLC profiles. Conclusion: Gokshuradi Kashaya was found to be stable in physicochemical, microbial load. These findings can provide a provisional shelf life of six months, it needs to be confirmed by long-term real-time stability studies. Keywords:Accelerated stability study, Gokshuradi Kashaya, Microbial Load, TLC Profile. Images TLC at 0th, 3rd and 6th month. KeywordsAccelerated Stability StudyGokshuradi KashayaMicrobial LoadTLC Profile. ‹ LC-MS Guided Discovery of Pharmacologically Active Metabolites from Ethanol Extracts of Bark and Leaf of Vincetoxicum iphisia Meve and Liede up Healing with Herbs: Clinical Implications of Botanicals in Oral Cancer: A Comprehensive Systematic Review ›